A húgyhólyagrákos esetek a rosszindulatú daganatoknak mintegy 2%-át teszik ki. Férfiakban 2,5-3-szor gyakoribb, mint nőkben. Főként idősebb (50-70 év) korban fordul elő, de fiatalabbakban is jelentkezhet. Számos olyan környezeti tényező (pl. dohányzás) ismert, amely a húgyhólyagrák kialakulásában szerepet játszik és annak kockázatát nagymértékben növeli. Korai felismerés esetén gyógyítása terén kedvező eredmények érhetők el.
1. A húgyhólyagrákról általában
A húgyhólyag a kismedencében elhelyezkedő izmos falú, üreges szerv, mely a vesékből érkező vizeletet tárolja. A húgyhólyagrák kialakulásakor a húgyhólyag felületes nyálkahártyájában vagy mélyebb izomrétegében kóros szövetszaporulat (daganat) jelenik meg.
2. Epidemiológia
A hólyagdaganat a második leggyakoribb urológiai daganat (a leggyakoribb urológiai tumor a prosztatarák). Magyarországon évente 3500 új beteget diagnosztizálnak hólyag tumorral, mely körülbelül 800 beteg életét követeli. Leggyakrabban 60-75 éves kor között fordul elő, bár napjainkban egyre gyakoribbak a fiatalabb életkorban jelentkező esetek. A hólyagdaganat a férfiak körében két és félszer gyakoribb, mint a nőknél.
A daganat előfordulása az 55-80 éves korosztályban, köztük is a 70-80 évesek között a leggyakoribb.
3. Kockázati tényezők
Dohányzás
A legfontosabb kockázati tényező a dohányzás, a veszély pedig annál nagyobb, minél régebb óta tart és minél több a naponta elszívott cigaretták mennyisége. A cigarettával a tüdőn keresztül a rákkeltő anyagok a véráramba kerülnek, melyet a vérből a vesék választanak ki, végül pedig azokat a húgyhólyag tárolja. Ezek a veszélyes anyagok a húgyhólyag falával mindaddig közvetlenül érintkeznek, amíg azokat vizelés útján el nem távolítjuk szervezetünkből. A dohányzásról való leszokással a kockázat rögtön csökken: 1–4 évi kihagyás után 40%-kal, 25 év elhagyás után pedig 60%-kal kisebb az esélye a hólyagdaganat kialakulásának a folyamatosan cigarettázókhoz képest.
Foglalkozási ártalom
A második legfontosabb kockázati tényező a foglalkozással összefüggő ártalom (pl. festék-, gumi-, textil-, bőr-, vegyiiparban dolgozók), ez a veszély azonban Magyarországon nem jelentős, mert a vegyipari termelés beszűkült, és a munkásokat egyre tökéletesebb védőfelszereléssel látják el.
Korábbi sugárkezelés
A korábbi kismedencei besugárzás szintén emelheti a hólyagdaganat kialakulásának esélyét. Leginkább a prosztata és a nőgyógyászati daganatok sugárkezelése után lehet erre számítani, hiszen ezek a betegek végleg meggyógyulhatnak az eredeti daganatból, tehát még sokáig élnek.
Különösen magas a rizikó hólyagrák kialakulására az olyan 60-75 év közötti dohányos férfiaknál, akik kevés folyadékot fogyasztanak (kevesebb, mint 2 liter/nap), a vegyiiparban dolgoznak és korábban kismedencei sugárkezelésben részesültek.
4. Tünetek
Vérvizelés, vizelési zavarok

A legjellemzőbb tünet az úgynevezett néma, alvadékos vérvizelés, mely az esetek 70-80%-ában megjelenik. A néma jelző azt jelenti, hogy a vérvizelés semmilyen más panasszal nem társul, fájdalmat nem okoz. A beteget magát is meglepi ez a jel, sokszor tévesen próbál erre magyarázatot keresni, például, hogy túl sok kólát vagy vörösbort ivott. Jellemző, hogy a vérzés spontán megáll, ezzel azt a téves nézetet megerősítve, hogy a folyamat meggyógyult, pedig ez a hólyagdaganat jellemzője, hogy a vérzés spontán megindul és magától eláll. Különösen zavaró, ha a beteg alvadásgátlót szed, mert még szakember is ennek tulajdoníthatja be a vérzést, pedig az alvadásgátlót szedők között is lehet hólyagdaganat. Nők esetén még veszélyesebb a helyzet, mert gyakran a gyulladások vérzéssel járnak. Fontos szabály ezért, hogy minden piros vagy barnás színű vizeletet urológiai rák jelének kell tekinteni, és ezzel orvoshoz kell fordulni. Másik jellemző, de sokkal ritkább tünet a gyakoribb, enyhén csípő vizelet.
Előrehaladott hólyagdaganatok tünetei
Előrehaladott tumoroknál a daganat elzárhatja a vesevezetéket, a húgycsövet, ezért az elfolyási zavar deréktáji fájdalmat, illetve teljes vizeletelzáródást okozhat. Előrehaladott daganatok erős alhasi- és kismedencei fájdalmat okozhatnak, az ilyen esetekben gyakran előfordul hirtelen testsúlyvesztés és gyengeség.
Véres vizelet esetén azonnal forduljunk urológushoz, hogy az a húgyhólyag daganat lehetőségét megvizsgálhassa. Különösen fontos orvoshoz fordulni, ha a vérvizelés időszakosan jelentkezik, és nem jár fájdalommal.
5. Kivizsgálás
Ultrahang vizsgálat
Az első vizsgálat mindenképpen a hasi- és kismedencei ultrahang, ahol az urológus megvizsgálja a húgyhólyag és a vesék állapotát. Az ultrahang vizsgálatra érdemes telt hólyaggal érkezni (tehát csak a vizsgálat után szabad elmenni a mosdóba), mert így a hólyag falából kiemelkedő daganat jobban ábrázolódik. A vesék vizsgálatakor az urológus annak jeleit keresi, hogy a daganat okoz-e olyan elfolyási akadályt, amely miatt a vizelet nem tud lefolyni a vesékből a húgyhólyagba. Ultrahanggal csupán az 1 cm-nél nagyobb daganatok jelenlétéről tudunk véleményt adni, a néhány mm-es daganatokat azonban nem tudjuk kimutatni.
Hólyagtükrözés
Ezért a kivizsgálás során elengedhetetlen a hólyagtükrözés. Ilyenkor először a külső nemi szerveket fertőtlenítjük majd a húgycsőbe helyi érzéstelenítőt és síkosítót juttatunk. Ezt követően egy fém eszközt vezetünk be egészen a húgyhólyagig, így a hólyag belső felszínét és a tumor jelenlétét, mennyiségét és nagyságát közvetlenül szabad szemmel tudjuk érzékelni. A vizsgálat mindössze 2-3 percet vesz igénybe.
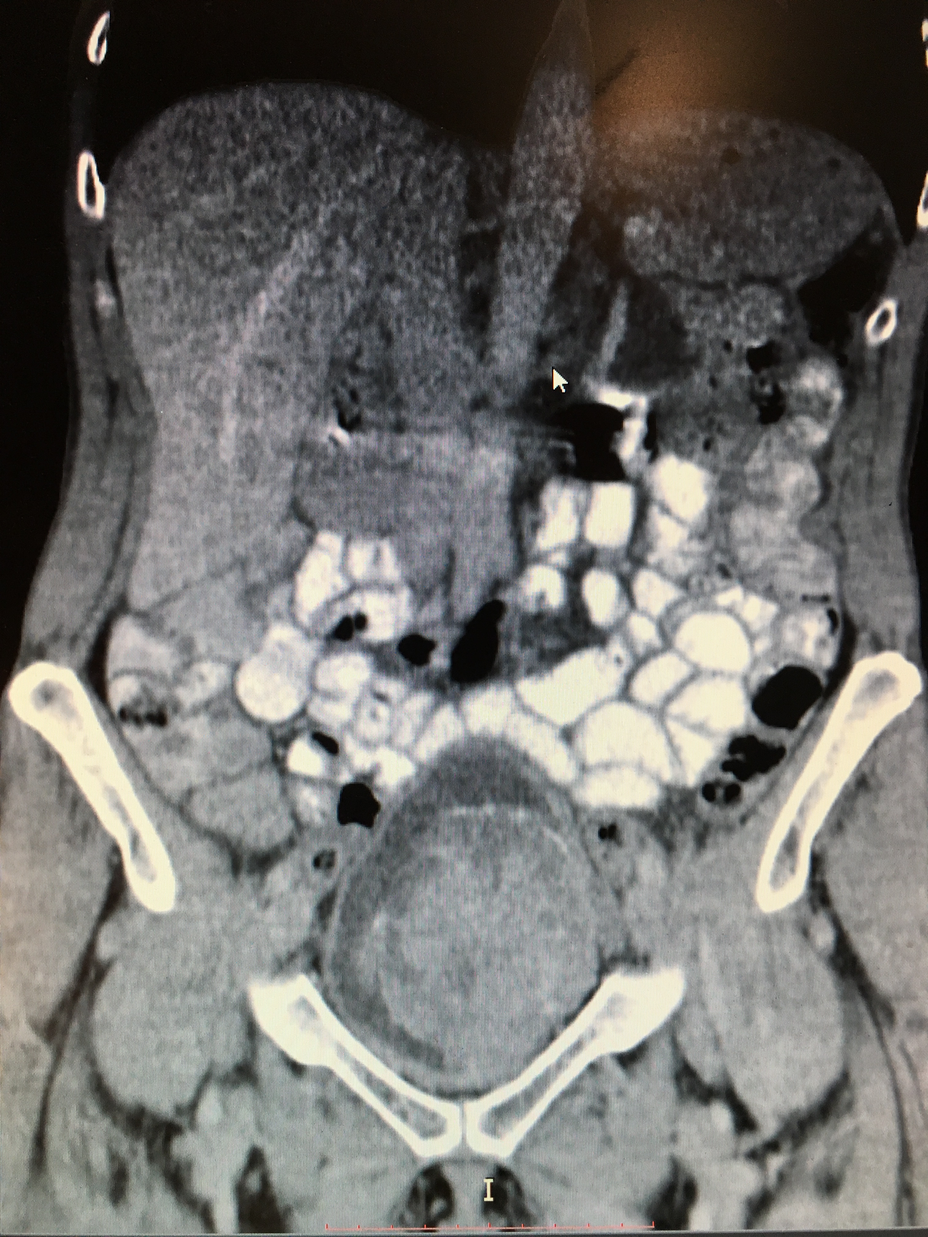
CT vizsgálat

CT (Computer Tomográfia) vizsgálatot általában kontrasztanyaggal és akkor végzünk, ha felmerül, hogy a hólyagdaganat már egy előrehaladottabb állapotot elért. A CT vizsgálat elkészült képeiből információt nyerhetünk a hólyag tumor kiterjedéséről, a nyirokcsomók érintettségéről, valamint a távoli áttétekről. Kontrasztanyagos CT vizsgálathoz szükséges a jó vesefunkció.
Vizelet vizsgálat
Hólyagdaganat esetében a vizeletvizsgálat elsősorban vizeletcitológia vizsgálatot jelent. Ilyenkor a mintát spontán vizeletből vagy a hólyagtükrözés során használt hólyagöblítő folyadékból nyerjük, melyet elküldünk patológusnak. A patológus a mintában a daganatos sejtek jelenlétéről vagy hiányáról ad leírást, ám a negatív eredmény (tehát amikor a minta nem tartalmaz tumorsejteket) nem jelenti azt, hogy a beteg szervezetében nincs jelen hólyagdaganat. Ezért a vizeletcitológiát leggyakrabban nem a diagnózis felállításakor, hanem a betegség követéskor használjuk.
Szövettani mintavétel
A húgyhólyagrák diagnózisának kimondása a szövettani vizsgálaton alapul. A szövettani mintavétel műtéti körülmények között, általában gerincvelő érzéstelenítéssel, húgycsövön keresztüli tumor rezekcióval (TUR) történik. Ennek során törekedünk a látható tumor teljes eltávolítására, melyet végül szövettani lelet formájában a patológus véleményez.
Minden vizsgálatra érdemes telt húgyhólyaggal érkezni, mert így az urológus az ultrahangos vizsgálat során a húgyhólyag helyzetét jobban meg tudja ítélni (a vizsgálat előtt 2-3 órával végezzük el kisdolgunkat, majd a vizsgálat idejéig fogyasszunk el 5-8 dl folyadékot). CT vizsgálat előtt javasolt éhgyomorra lenni (a vizsgálat előtt 4 órával ne étkezzünk semmit). Vérvétel előtt 12 órás teljes éhezés javasolt, érdemes a vérvétel után bevenni a reggeli gyógyszereket. Vérvétel előtt legalább fél órával kezdjünk el iszogatni szénsavmentes vizet. Minden alkalommal hozzuk magunkkal az összes korábbi leletünket és rendszeresen szedett gyógyszereink listáját, valamint személyes okmányainkat (személyigazolvány, lakcímkártya, TAJ kártya)!
6. A húgyhólyagrák típusai
A húgyhólyagrák diagnózisa kizárólag szövettani mintavétellel igazolható, melyet a patológus állít ki. A további kezelés elsősorban a hólyagdaganat típusától valamint az izomfal érintettségétől függ.
A hólyagdaganat leggyakoribb típusa az úgynevezett „urothel sejtes tumor”, mely leggyakrabban a dohányzás miatt alakul ki. Ennél jóval ritkábban fordul elő a laphámsejtes tumor, melynek oka hazánkban elsősorban az idült húgyhólyaggyulladás. Az úgynevezett „adenocarcinoma” mirigyes szerkezetű daganatot jelent, mely kivételesen főleg a nőket érinti, leggyakoribb oka pedig a korábbi kismedencei besugárzás.
Azt, hogy a hólyagdaganat milyen szöveti rétegetek érint, a patológus a „pT stádium”-mal jelöli. A húgyhólyag daganatokat ezek alapján két nagy csoportba soroljuk: az úgynevezett „felületes vagy nem-izominvazív daganatok” (pTa, pTis vagy pT1), valamint az „izominvazív daganatok” (pT2) csoportjába.
Ha a szövettani leírás urothel sejtes tumor jelenlétét igazolja, akkor a kezelés elsősorban a tumor kiterjedtségétől függ (pT stádium). Merőben eltérő a nem-izominvazív és az izominvazív hólyagdaganatok kezelése: nem-izominvazív daganat esetén általában elegendő a húgyhólyagba történő daganatellenes szerek befecskendezése, míg izominvazív daganatok esetén a húgyhólyag eltávolítása és a kemoterápia lehetősége is felmerül.
7. Nem-izominvazív hólyagtumorok kezelése és követése
A nem-izominvazív vagy felületes hólyagdaganatokat további alcsoportokra oszthatjuk aszerint, hogy mekkora az esély a daganat kiújulására, esetleg előrehaladott tumorrá válására. Ezek alapján alacsony-, közepes- és magas kockázatú tumorokról beszélünk.
Alacsony kockázatú tumorok
Az alacsony kockázatú hólyagtumoroknak nevezzük azokat a daganatokat, amelyek kiújulása ritka és kicsi az esélye annak, hogy előrehaladottabb daganattá válik.
Az alacsony kockázatú tumoroknál a műtétet követő hat órán belül egy katéteren keresztül daganatellenes szereket fecskendezünk a húgyhólyagba, melyet 1-2 órán át a húgyhólyagban kell tartani. Ezt nevezzük „korai instillációnak”. Célunk ezzel az, hogy a műtétet követően a húgyhólyagban visszamaradt és szabad szemmel nem látható daganatsejteket elpusztítsuk, ezáltal csökkentsük a daganat kiújulásának esélyét.
Amikor a gyógyszer beadása után kiüríti a hólyagját, ügyeljen arra, hogy a vizelet ne kerüljön a bőrére. Amennyiben a bőrére kerül a vizelet, gondosan mossa le vízzel és szappannal az érintett területet, de ne dörzsölje.
Közepes kockázatú tumorok
Közepes kockázatú daganatok esetén is indokolt a korai instilláció, melyet hat héten keresztül hetente egyszer érdemes folytatni.
Magas kockázatú tumorok
Magas kockázatú tumoroknak nevezzük azokat a daganatokat, amelyeknél nagy az esély a daganat húgyhólyagon belüli kiújulására vagy izominvazívvá válására.
Magas kockázatú tumor esetén a korai instillációt úgynevezett „helyi vagy lokális immunterápia” követi. A lokális immunterápia során élő, de legyengített baktériumot juttatunk egy katéteren keresztül a húgyhólyagba, melyet 1-2 órán keresztül a húgyhólyagban kell tartani. A legyengített kórokozó betegséget nem okoz, de a húgyhólyagból olyan immunválaszt vált ki, mely elpusztítja a daganatsejteket.
Magas kockázatú tumorok esetén el kell végeznünk az úgynevezett „utórezekciót”, mely egy ismételt műtéti beavatkozást jelent. Ilyenkor a tumor korábbi helyéről húgycsövön keresztül újabb szövetdarabokat távolítunk el, hogy az esetleg visszamaradt, de szabad szemmel nem látható daganatos szövetek is eltávolításra kerüljenek.
Ellenőrző vizsgálatok
A felületes hólyagtumorok esetén gyakori a daganat kiújulása, mely a húgyhólyag belső felületén bárhol megjelenhet. Ezért rendkívül fontos, hogy az ellenőrző vizsgálatokra minden esetben visszajárjunk, hogy a kiújuló, de tünetet még nem okozó hólyagdaganatot időben észrevegyük és el tudjuk távolítani. Az ellenőrző vizsgálat során vizeletcitológiai- és ultrahang vizsgálatot végzünk, melyet meghatározott időközönként kiegészítünk hólyagtükrözéssel.
Alacsony kockázatú daganat esetén az első hólyagtükrözés műtétet követően három hónap múlva történik, melyet kilenc hónap múlva meg kell ismételni, végül öt éven keresztül évente végezzük el. Magas kockázatú hólyagdaganat esetén fontos a szoros követés, ezért az első két évben háromhavonta végezzük el a húgyhólyag tükrözését, az azt követő öt évben félévente, majd évente ismételjük meg a vizsgálatot. A közepes kockázatú esetek ellenőrzési gyakorisága e kettő közé esik. Ha két vizsgálat között panasz, vérvizelés jelentkezne, akkor soron kívüli vizsgálatok szükségesek.
8. Nem-izominvazív hólyagtumorok kiújulása, a betegség kimenetele
Kiújulást befolyásoló tényezők
A húgyhólyagdaganat jellemzője, hogy idővel ismételten megjelenik a húgyhólyagban. Ennek oka a húgyhólyag körkörös nyirokérhálózata, mely a műtét után visszamaradt, szabad szemmel nem látható daganatsejteket könnyedén továbbítja a hólyag egyik pontjából a másikba.
Teendő kiújulás esetén (reTUR)
A daganat kiújulását hólyagtükrözéssel tudjuk igazolni, ezért rendkívül fontos, hogy rendszeresen járjunk ellenőrző vizsgálatokra. Amennyiben a daganat kiújult, azt ismételten el kell távolítanunk a húgycsövön keresztül (TUR-műtét). A további kezelést az ismételten eltávolított daganatról adott szövettani leírás fogja meghatározni.
A betegség kimenetele
A nem-izominvazív hólyagdaganatok túlélése kedvező, a betegek jellemzően nem a daganatos betegségükben hunynak el. Azonban ha a daganat előrehalad, vagyis izominvazívvá válik (ez a nem izominvazív daganatok körülbelül 10%-a), a túlélési esélyek sokkal kedvezőtlenebbek. Azok a tényezők, amik a kiújulás esélyét növelik, az izominvazívvá válás esélyét is növelik (szám, méret, korábbi kiújulás, szövettani leírás). Az alacsony kockázatú daganatok kis eséllyel, míg a magas kockázatú daganatok jóval nagyobb eséllyel válhatnak izominvazívvá. Mivel az izominvazív hólyagdaganatok kezelése és túlélési esélyei lényegesen rosszabbak a nem izominvazív daganatokénál, ezért rendkívül fontos, hogy tudjuk, melyik betegcsoportba tartozunk – az alacsony vagy a magas rizikójú betegcsoportba.
9. Az izominvazív hólyagtumorok kezelése
Az izominvazív húgyhólyagdaganatok kezelése függ a beteg életkorától, általános állapotától (kibír-e a szervezete egy műtétet vagy egy kemoterápiás kezelést), a daganat stádiumától és attól, hogy megjelentek-e már áttétek. Ahhoz, hogy a megfelelő kezelési módot ki tudjuk választani, számos vizsgálatra van szükségünk.
Kezelés megkezdése előtt szükséges vizsgálatok:
A kezelés megkezdése előtt szükséges felmérni a daganat stádiumát képalkotó módszerek segítségével. A has-, kismedence- és mellkas CT információt ad arról, hogy a daganat mérete mekkora, hogy van-e áttét és, hogy a vesevezetéke(ke)t elzárta-e. A csontszcintigráfia vizsgálat arról nyilatkozik, hogy a csontokba a daganat adott-e áttétet. Laborvizsgálatokkal (vérvétel) és EKG-val arról tájékozódunk, hogy milyen a beteg általános állapota, képes-e kibírni egy műtéti vagy kemoterápiás kezelést.
Neoadjuváns kezelés
A neoadjuváns kezelés az a kezelés, amelyet a tervezett műtét előtt alkalmazunk. Célja egyrészt az, hogy a daganat méretét csökkentsük, ezzel a korábban műtétre nem alkalmas betegek műtétre alkalmassá válhatnak. Ezen felül a neoadjuváns kezelés az áttétek képződését csökkenti és a beteg túlélési esélyeit is növeli. Tehát a neoadjuváns kezelés nem időhúzás a műtét előtt!
Műtéti kezelés
A kizárólag a húgyhólyagot érintő (tehát a környező szervekre – prosztata, méh, petefészkek, hüvely – nem átterjedő), izominvazív és nem áttétes daganatok legjobb túlélést biztosító kezelése a műtéti kezelést, mely a radikális cystectomia. A radikális cystectomia jelentős megterheléssel és szövődményekkel járhat, ezért csak indokolt esetben végezzük el a műtétet.
A húgyhólyag eltévolítása (nőknél és férfiaknál)
A műtét altatásban történik. Alsó hasi bőrmetszés és a hasfali izomzaton történő áthatolás után megnyitjuk a hasüreget és teljes hasi átvizsgálást végzünk a daganat helyi tovaterjedésének kizárására. Férfiaknál a húgyhólyag eltávolítása mellett eltávolításra kerül a prosztata és az ondóhólyagok is, nőknél pedig eltávolítjuk a méhet, a petefészkeket és a hüvely egy részét is. A kismedencei nyirokcsomók is eltávolításra kerülnek.
Vizelet elterelés megoldása
A hólyag eltávolítása után a betegben és az orvosában is rögtön felmerül a kérdés, hogy hova fog folyni a vizelet. A megfelelő vizeletdeviáció kiválasztása nagy körültekintést igényel, és ebben a lehetőségeket és a beteg igényeit kell összeegyeztetni.
A vizeletelterelés legegyszerűbb formája a vesekatéter behelyezése (nephrostoma). Ilyenkor a hát bőrén keresztül szúrjuk meg közvetlenül a veséket, az így beültetett vesekatéterek mindkét veséből 1-1 vizeletes zacskóba vezeti el folyamatosan a vizeletet.
Az úgynevezett ureterocutaneostomia képzése során vesevezetékeket a hasfal felszínére vezetjük ki, általában külön-külön a köldök két oldalára.
Az előbbi két vizeletelterelési módszernél sokkal jobb életminőséget biztosító és elterjedtebb megoldás a közbeiktatott vékonybél darabból képzet póthólyag kialakítása. A gyakorlatban erre a módszerre több kifejezést is használunk: uretero-ileo-cutaneostomia, Bricker-féle bélhólyag képzés vagy ileum-conduit. Lényege, hogy egy körülbelül 20-25 cm-es vékonybélszakaszt rekesztünk ki, mely egyik végét lezárjuk és beleültetjük a két vesevezetéket, majd a másik végét a hasfalra a köldök mellé kivezetjük, ezzel úgynevezett vizeletes sztómát készítünk.
Műtét utáni kezelés – adjuváns és késleltetett kezelések
Az adjuváns kezelés célja a műtétet követően a szemmel nem látható kicsiny áttétek eltávolítása. Ezek a daganatsejtek a nyirokutakon, illetve a vérárammal távolra is eljuthatnak és megtapadhatnak. Akkor alkalmazzuk, ha nagy a kockázata annak, hogy a daganat kiújul azokból a sejtekből, amelyeket a sebészeti beavatkozás során nem sikerült eltávolítani. Ha a műtétet követően a kontroll képalkotó (CT) vizsgálatok a daganat kiújulását vagy távoli áttét képződését mutatják, akkor késleltetett kezelést indítunk. Mind az adjuváns, mind a késleltetett kezelés során általában több gyógyszert kombináltan alkalmazunk a lehető legnagyobb dózisban, amelyet a beteg még elvisel.
Nem műthető izominvazív tumorok kezelése
Ha a radikális műtét valamilyen okból nem kivitelezhető, akkor alternatívaként szóba jön az úgynevezett trimodális kezelés. Ez a kezelés három összetevőből áll: 1) maximális endoszkópos műtét (TUR), 2) szisztémás kezelés (kemoterápia vagy immunterápia) és 3) a besugárzás kombinációja. Első lépés ez esetben is a teljességre törekvő TUR-műtét, mely során a húgyhólyagban szabad szemmel látható összes daganatot eltávolítjuk. A kemoterápia a szabad szemmel nem látható daganatsejtek elpusztítását szolgálja. A sugárkezelés célja a daganat helyben történő visszaszorítása, ezért a sugárkezelést ilyenkor közvetlenül a húgyhólyagra adjuk. Számolnunk kell azonban a sugárkezelés egy gyakori szövődményével, a zsugorhólyaggal.
10. Az izominvazív hólyagtumorok követése és túlélése
Betegkövetés – rendszeres kontroll vizsgálatok
Az izominvazív daganatok ellenőrzésekor célunk az, hogy a daganat előrehaladását – helyi kiújulást, méretbeli növekedést, áttétek megjelenését – időben észrevegyük, ezért rendkívül fontos, hogy minden kontroll vizsgálaton jelentkezzünk. A helyi kiújulás a műtét után a betegek 5-15%-át, a távoli áttétek megjelenése pedig körülbelül a felét érinti. Mindezért a kontroll vizsgálatok során a teljes testet át kell néznünk, melyet leggyakrabban CT-vizsgálattal teszünk meg. Mivel a vesefunkció romlása előfordulhat mind műtét után, mind műtét nélkül, ezért fontos, hogy a vesefunkciós paramétereket is rendszeresen ellenőrizzük (ultrahanggal és vérvétellel). Az ellenőrző vizsgálatok kezdetben háromhavonta történnek, stabil betegség esetén (tehát ha nem nő a daganat és nem jelenik meg újabb áttét vagy helyi kiújulás) az ellenőrző vizsgálatokat elég félévente, majd évente elvégezni.
A legfontosabb a húgyhólyagrák kialakulásának megelőzésében a dohányzás elhagyása. Azoknak, akik leteszik a cigarettát, 1–4 évi kihagyás után 40%-kal, 25 év elhagyás után pedig 60%-kal kisebb az esélye a hólyagdaganat kialakulására a folyamatosan cigarettázókhoz képest.
A rendszeres testmozgással nemcsak a hólyagrák, hanem a többi daganat is megelőzhető. Heti háromszor fél óra testmozgás már lényegesen csökkenti a rosszindulatú betegségek kialakulását.
Érdemes figyelnünk a bőséges és rendszeresen elosztott folyadék fogyasztásra. Minden nap 2 – 2,5 liter folyadékot érdemes fogyasztani, elsősorban víz vagy cukormentes tea formájában. A gyümölcsökben és zöldségekben gazdag táplálkozással szintén jótékony hatással van egészségünkre.
A gumi-, festék-, textil-, bőr-, vegyiiparban dolgozóknak érdemes odafigyelni arra, hogy minél kevesebbet érintkezzenek vegyianyagokkal. Használjanak mindig megfelelő védőöltözéket!